La infección por citomegalovirus (CMV) es una infección viral muy común, perteneciente a la familia de los herpesvirus. Una vez contraída, el virus permanece en el cuerpo de por vida, generalmente en estado latente o inactivo. Aunque en la mayoría de las personas sanas no causa síntomas o estos son leves, el CMV puede ser motivo de preocupación en grupos específicos como embarazadas o personas con el sistema inmunitario debilitado.
En Estados Unidos, se estima que casi 1 de cada 3 niños ha sido infectado por CMV para cuando cumplen 5 años, y más de la mitad de los adultos lo han contraído antes de los 40 años. Las mujeres embarazadas que desarrollan una infección activa por CMV pueden transmitir el virus a sus bebés, lo que puede resultar en la infección congénita por CMV (CMVc). En personas con sistemas inmunitarios comprometidos, como aquellas que han recibido trasplantes de órganos, médula ósea o células madre, la infección por CMV puede ser grave e incluso mortal.

Transmisión del Citomegalovirus
El CMV se propaga de persona a persona a través del contacto con fluidos corporales infectados, tales como:
- Sangre
- Saliva
- Orina
- Semen
- Leche materna
- Lágrimas
- Fluidos vaginales
Las vías de transmisión incluyen el contacto sexual y no sexual, el contacto con ojos, nariz o boca después de tocar fluidos corporales infectados, y el consumo de leche materna. Los bebés pueden adquirir la infección durante el parto a través del contacto con secreciones infectadas del canal de parto o en la infancia a través de la leche materna. Las transfusiones de sangre o trasplantes de órganos de donantes infectados también pueden ser una fuente de contagio.
Citomegalovirus Congénito (CMVc)
La infección por CMV es la causa infecciosa más común de defectos de nacimiento en los Estados Unidos. Cuando una mujer embarazada se infecta con CMV, especialmente si es una primoinfección durante el embarazo, existe el riesgo de transmitir el virus al feto. La probabilidad de transmisión fetal es mayor si la infección materna ocurre en el tercer trimestre, aunque las secuelas suelen ser más graves si la infección se produce en el primer trimestre.
Aproximadamente 1 de cada 200 bebés nace con infección congénita por citomegalovirus. La mayoría de estos bebés (alrededor del 90%) no presentan síntomas al nacer y pueden permanecer saludables. Sin embargo, algunos de ellos, incluso aquellos que parecen sanos al nacer, pueden desarrollar signos de la enfermedad más adelante, a veces meses o años después. Los problemas de salud a largo plazo más comunes en bebés con CMVc son la pérdida auditiva neurosensorial y el retraso en el desarrollo.

Síntomas y Secuelas del CMVc
Los bebés con infección congénita por CMV pueden presentar una variedad de síntomas al nacer o desarrollarlos posteriormente. Las secuelas neurológicas y sensoriales asociadas con el CMVc pueden ser significativas:
- Retraso psicomotor: Dificultades en el desarrollo motor y cognitivo.
- Microcefalia: Perímetro cefálico al nacer significativamente menor de lo esperado.
- Hipoacusia neurosensorial: Pérdida de audición que puede ser progresiva y aparecer tardíamente.
- Trastornos motores: Como parálisis cerebral infantil.
- Epilepsia: Presencia de convulsiones.
- Coriorretinitis: Inflamación de la coroides y la retina del ojo.
- Discapacidad intelectual: Dificultades en el aprendizaje y el razonamiento.
- Trastornos del comportamiento: Incluyendo trastorno del espectro autista y déficit de atención e hiperactividad.
- Trastornos específicos del lenguaje.
En un estudio retrospectivo de cohortes, se evaluaron 60 pacientes con infección congénita por CMV. De estos, el 65% presentó afectación neurológica durante su seguimiento. Las secuelas más frecuentes fueron el retraso psicomotor (62.2%), microcefalia (61.5%) e hipoacusia (46.2%).
Citomegalovirus
Diagnóstico del Citomegalovirus
El diagnóstico de la infección por CMV puede realizarse mediante diversas pruebas de laboratorio:
- Detección del virus: Cultivo viral o PCR (reacción en cadena de la polimerasa) positiva en muestras de orina, saliva o sangre. En recién nacidos, las pruebas deben realizarse idealmente en las primeras 3 semanas de vida. Para el diagnóstico prenatal, se puede analizar líquido amniótico mediante PCR.
- Detección de anticuerpos: Pruebas de anticuerpos IgM e IgG contra CMV en sangre pueden indicar una infección actual o pasada. Sin embargo, estas pruebas no siempre son suficientes para diagnosticar la infección congénita en recién nacidos.
- Pruebas de laboratorio y de imagen: En pacientes sintomáticos, se pueden observar hallazgos como trombocitopenia, transaminasas elevadas, hiperbilirrubinemia directa, y anomalías en estudios de neuroimagen.
En recién nacidos, el diagnóstico de infección congénita por CMV se confirma si el virus se detecta en orina, saliva o sangre durante la primera semana de vida. Las pruebas de anticuerpos por sí solas no son suficientes para el diagnóstico de CMVc.
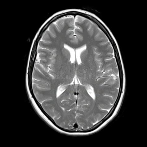
Neuroimagen y Factores Predictivos de Secuelas
Las alteraciones en los estudios de neuroimagen son comunes en pacientes con infección congénita por CMV sintomática, estando presentes en más del 60% de los casos. Estos hallazgos pueden incluir:
- Calcificaciones cerebrales (especialmente periventriculares).
- Ventriculomegalia (dilatación de los ventrículos cerebrales).
- Vasculopatía lenticuloestriada.
- Alteraciones de la sustancia blanca.
- Trastornos de la migración neuronal.
- Atrofia cortical.
- Quistes periventriculares.
- Hipoplasia cerebelar.
Un estudio comparó pacientes con y sin secuelas neurológicas. Se encontró que la presencia de clínica neonatal y alteraciones en los estudios de neuroimagen fueron significativamente más frecuentes en el grupo con secuelas. Ciertos hallazgos en la neuroimagen, como la presencia de alteraciones de la sustancia blanca o trastornos de la migración neuronal, podrían predecir las secuelas neurocognitivas en pacientes con infección congénita por CMV.

Tratamiento y Manejo
La mayoría de los niños infectados con CMV no requieren tratamiento. Sin embargo, para pacientes con infección sintomática grave, especialmente aquellos con afectación neurológica o auditiva, se puede indicar tratamiento antiviral. Los fármacos utilizados incluyen ganciclovir (generalmente para pacientes con riesgo vital) y valganciclovir (para otros casos). El tratamiento antiviral ha demostrado mejorar el pronóstico auditivo y el desarrollo psicomotor en pacientes sintomáticos al nacer.
Los bebés con infección congénita por CMV, incluso si son asintomáticos al nacer, deben someterse a un seguimiento audiológico regular, ya que la pérdida auditiva puede aparecer o progresar con el tiempo. También se recomienda el seguimiento oftalmológico.
Prevención
Si bien no existe una vacuna contra el CMV, se pueden tomar medidas para reducir el riesgo de infección, especialmente para las mujeres embarazadas:
- Higiene de manos: Lavarse las manos frecuentemente con agua y jabón, especialmente después del contacto con saliva u orina de bebés y niños pequeños (por ejemplo, al cambiar pañales o alimentar a un bebé).
- Evitar contacto cercano con fluidos corporales de niños pequeños: Compartir juguetes, utensilios o vasos, besar a los niños en la boca o en las mejillas.
Las mujeres embarazadas que están preocupadas por la infección por CMV deben practicar medidas de prevención y discutir sus inquietudes con su proveedor de atención médica.
tags: #citomegalovirus #discapacidad #intelectual